Most people hope to have a long-term relationship with their own teeth, but when that doesn’t go as planned, Permadontics co-founder Dr. Ian Aires has a lasting and reliable solution for a second marriage. Since they were first introduced in the late 1980’s, dental implants have become one of the most successful long-term treatments for replacing teeth.
This time around, the vows between patient and tooth are nearly 100% guaranteed to be binding for life. Dental implants installed even thirty years ago are most likely still intact today. “If you compare dental implants to any other procedure that’s done in the mouth,” Dr. Aires said, “It’s a much higher success rate.”
Dental implants are so successful because they are made of high-grade titanium metal. The human bone fancies titanium so much that it grows onto it as if it’s made of the same material. “Dental implants should last you your lifetime,” Dr. Aires explained. “Once the bone attaches onto the titanium, it becomes a permanent part of the body and very unlikely that it would breakdown.”
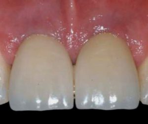
People often assume that the dental implant includes the actual tooth, but this is not the case. The implants are essentially the roots securing new teeth in place. A tooth made of ceramic or Zirconia is attached onto the implant.

Because there are no nerve endings around the implants, there is no pain or discomfort once the implant heals. In fact, patients are often quite surprised by the little amount of pain they feel during the entire procedure. “The response that I always get is that patients wish they would have done the procedure sooner,” Dr. Aires said. “There is a misconception that it’s going to be painful and traumatic.” –Dr. Ian Aires
